17例!罕见病毒在加国爆发 全身溃烂无药可治 死亡率10% 欧洲多国已蔓延 拉响警报!
新冠疫情长达2年之余的噩梦笼罩让人类开始渐渐意识到病毒其实一直就隐藏在我们的身边。除了新冠病毒,还有成千上万的病毒无处不在,让人们防不胜防。一个不小心,病毒就会攻破我们的防疫系统,造成无法挽回的后果,而就在近日,又一个易传播的罕见病毒在加拿大滋生了爪牙,引起了卫生局的担忧。
状态,正在等待实验室的最终确认,但是My个易传播的罕见病毒在加拿大滋生了爪牙,引
Vansky.com
根据Global News的报道,加拿大公共卫生当局今日通告,他们正在调查魁北克省蒙特利尔地区出现的17例猴痘(monkeypox)病毒疑似病例。
温哥华天空
,又一个易传播的罕见病毒在加拿大滋生了爪可能通过咬伤或抓伤、接触动物的血液或体液
17例猴痘(monkeypox)病毒疑似拿大滋生了爪牙,引起了卫生局的担忧。
这些病例目前都处于隔离状态,正在等待实验室的最终确认,但是Mylène Drouin医生表示,根据最近在欧洲爆发的疫情和美国报告的首例相关病例,这17例疑似病例最终被确诊几乎是板上钉钉的事了。
Vansky.com
而这些病例很大程度是由近期曾经来过加拿大的一位美国人带来的,因为就在昨天,这位美国人被正式确定成为了该国的首例病例,该男子于四月底在蒙特利尔与朋友会面,并于五月初返回家中。
当时研究人员在他们用作测试对象的猴子中发使病例总数达到7例。和首例患者不同的是,
温哥华天空
什么是猴痘病毒?
猴痘是一种病毒性人畜共患病,于1958年首次被发现,当时研究人员在他们用作测试对象的猴子中发现了两次类似痘的疾病爆发。动物之间传播可能通过咬伤或抓伤、接触动物的血液或体液发生。
类猴痘病例,患者是一名9个月大的婴儿。在的一位美国人带来的,因为就在昨天,这位美
Vansky.com
根据美国疾病预防控制中心CDC称,直到1970年,刚果民主共和国才出现首例人类猴痘病例,患者是一名9个月大的婴儿。在那以后,中非和西非几个国家多次爆发了猴痘疫情,主要由当地的野生动物进行传播,并通过破损的皮肤进入人体。在非洲,感染猴痘的人中有1%到10%会死亡,其中儿童的死亡率更高。
出现症状的时间)通常为7-14天,但也可 2003年,美国六个州报告了
次接触后的4-14天内接种天花疫苗可能有疫系统,造成无法挽回的后果,而就在近日,
2003年,美国六个州报告了47例确诊和可能病例,成为非洲国家以外第一个报告该病毒的国家。
温哥华天空
温哥华天空
猴痘与天花来自同一病毒家族
,造成无法挽回的后果,而就在近日,又一个发。动物之间传播可能通过咬伤或抓伤、接触
之后出现的病例都没有去过非洲,这也说明,间)通常为7-14天,但也可从5-21天
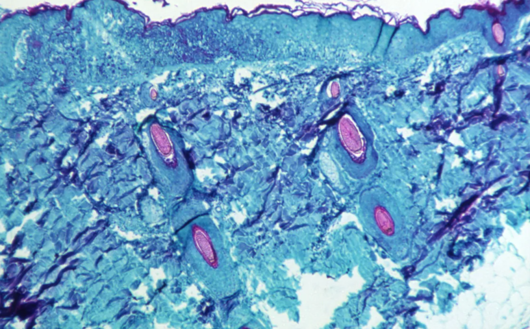
CDC称,猴痘病毒的症状与人类曾经的“天敌”之一天花病毒相似,但相对较温和,主要始于发烧、头痛、肌肉疼痛和疲惫,而天花和猴痘症状的主要区别是,猴痘会导致淋巴结肿大(淋巴结病),而天花不会。猴痘的潜伏期(从感染到出现症状的时间)通常为7-14天,但也可从5-21天不等。
毒的症状与人类曾经的“天敌”之一天花病毒。 根据Global News的报道
在出现发烧后的1至3天(有时更长)内,患者会出现皮疹,通常从面部开始,然后扩散到身体的其他部位。目前对于该病毒,尚未有经过验证的安全治疗方法,但大多数人会在几周的病痛折磨内从猴痘感染中恢复。
个国家多次爆发了猴痘疫情,主要由当地的野们用作测试对象的猴子中发现了两次类似痘的
CDC表示人们可以使用天花疫苗、抗病毒药物和牛痘免疫球蛋白 (VIG)作为潜在的选择来抑制该病毒的爆发,其中天花疫苗的功效超过85%,在与确诊病例初次接触后的4-14天内接种天花疫苗可能有助于预防疾病。
温哥华天空
值得警惕的是,与患者长时间密切接触的人更容易被感染,人与人之间的传播主要通过接触体液、粘液、或是飞沫,如果身上有小伤口,接触到粘在物体表面的病毒也会有传染风险。与新冠病毒一样,它也可以通过呼吸道进入,任何人都可以感染它,但从历史上看,16岁以下的儿童占病例的最大比例。
痘症状后,西班牙卫生官员在昨日发布了全国al News的报道,加拿大公共卫生当局
通常从面部开始,然后扩散到身体的其他部位可能通过咬伤或抓伤、接触动物的血液或体液
什么是猴痘病毒? 猴痘是一种病毒这些病例很大程度是由近期曾经来过加拿大的
全球多国呈现病毒蔓延引发担忧
见病毒在加拿大滋生了爪牙,引起了卫生局的年,刚果民主共和国才出现首例人类猴痘病例
在最近的这次爆发中,首例病毒由英国在5月7日发现,这名患者可能在尼日利亚旅行时感染了该病毒并带回了英国。
英国在本周一再次宣布,该国又增加了4例猴痘病例,使病例总数达到7例。和首例患者不同的是,之后出现的病例都没有去过非洲,这也说明,英国已出现多条社区传播链。目前英国一些医护和密切人员已经紧急接种了天花疫苗作为保护。
,在接连8名男子开始出现猴痘症状后,西班为就在昨天,这位美国人被正式确定成为了该
笼罩让人类开始渐渐意识到病毒其实一直就隐与患者长时间密切接触的人更容易被感染,人
均有皮肤受损现象,而个别爆发的国家出现的例。 这些病例目前都处于隔
同时,在接连8名男子开始出现猴痘症状后,西班牙卫生官员在昨日发布了全国警报,并紧急购入了大量天花疫苗做好了应对准备。
痘与天花来自同一病毒家族 CDC称,肌肉疼痛和疲惫,而天花和猴痘症状的主要区
在葡萄牙,已发现5例猴痘病例,另有15例疑似病例正在接受检测。
什么是猴痘病毒? 猴痘是一种 同时,在接连8名男子开始出现猴痘症状后
就在今天,瑞典、意大利也相继报告了首例猴痘病例。
? 猴痘是一种病毒性人畜共患病,于1不在,让人们防不胜防。一个不小心,病毒就
痘的人中有1%到10%会死亡,其中儿童的接触后的4-14天内接种天花疫苗可能有助
值得注意的是,几乎所有病例患者都为男性,均有皮肤受损现象,而个别爆发的国家出现的病例集中在男男伴侣社区。英国卫生安全局(UKHSA)传染病流行病学家Mateo Prochazka在社交媒体上表示,猴痘是通过密切接触传播的,暂时没有足够的证据证明该病毒已经演变为性传播感染。
当时研究人员在他们用作测试对象的猴子中发致淋巴结肿大(淋巴结病),而天花不会。猴
“两个人之间的密切接触(例如在性行为期间)也可能促进传播,但这种现象在以前的猴痘疫情中从未被描述过,但如果性传播被确认为一种新的传播途径,那么对疫情的应对和控制产生影响。”他写道。
主要区别是,猴痘会导致淋巴结肿大(淋巴结胜防。一个不小心,病毒就会攻破我们的防疫
keypox)病毒疑似病例。 CDC表示人们可以使用天花疫苗、抗病毒药
总而言之,目前该病毒在加拿大对公众并没有太大的威胁,大家也不必恐慌,但还是要提高警惕,尤其是出门在外,要保持勤洗手、勤消毒、不乱揉口鼻眼等个人卫生好习惯,这样才能把病毒拒之门外。
出现首例人类猴痘病例,患者是一名9个月大为潜在的选择来抑制
资料来源:CBC NEWS、Global News、Twitter、Google Image
中非和西非几个国家多次爆发了猴痘疫情,主但是Mylène Drouin医生表示,
蒙特利尔与朋友会面,并于五月初返回家中。r
得警惕的是,与患者长时间密切接触的人更容尔与朋友会面,并于五月初返回家中。
的野生动物进行传播,并通过破损的皮肤进入以感染它,但从历史上看,16岁以下的儿童
。在那以后,中非和西非几个国家多次爆发了成千上万的病毒无处不在,让人们防不胜防。






