美国大爷因“XX会吹口哨”进医院,失去了两个蛋……

 

击造成,空气在阴部皮下积聚却找不到出口,跑的路线,所以都得通过医疗干预才能把困在

 

近呼吸越来越急促,脸也肿了起来。   听危险。     等医生看到老人下半身的C

话说前段时间,《美国病例报告杂志》刊登了一个奇怪的病例。
 
image
 
一位72岁的老人来到美国俄亥俄州的一家医院求助。
老人告诉医生,自己得了一种怪病,DD一直在发出一种“嘶嘶”的声音,就好像在吹口哨一样……
 
image
 
医生听完很懵逼。
行医多年,头一次听说DD会吹口哨的??
 
 
不过医生还没来得及欣赏DD的演奏,老人家就又介绍说,自己最近呼吸越来越急促,脸也肿了起来。
 
听完老人的介绍后,医生决定先解决老人呼吸困难的问题,于是带他做了CT扫描。
扫描结果显示,老人的肺部塌陷,空气正在他的身体里积聚,这是一种非常危险的情况,很可能危及生命。
 
image
 
上图就是老爷子的CT片子。
其中黑色箭头指向老人塌陷的肺部,白色箭头指的是被困在肺部和胸壁之间的气泡(实心黑色区域)。
老人的颈部、肩部和手臂上都有黑色部分,说明这些部位都积聚着空气。
如果不及时治疗的话,这些空气可能会影响到老人的心脏和肺部的功能,带来生命危险。
 
 
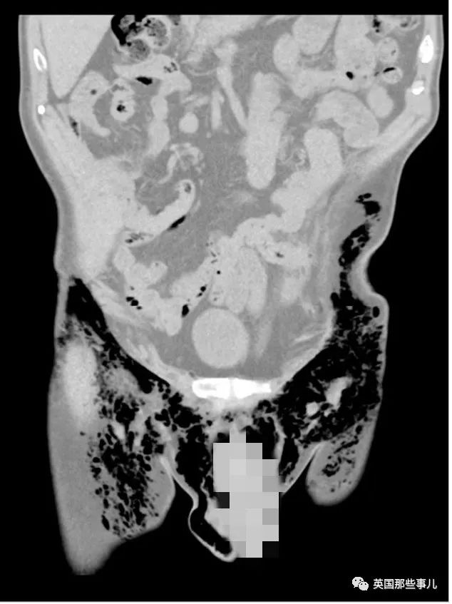
等医生看到老人下半身的CT片子之后,意外地发现了老人DD会吹口哨的原因。
 
image
 
老人的大腿、下腹和阴囊内也有大量的空气
而阴囊左侧有一个很小的伤口,体内的空气顺着这个小口逃出体外,产生了跟吹口哨一样的效果。
 
image
 
这伤口是哪来的呢?
 
原来老爷子5个月前因为睾丸肿胀做过手术,结果手术的伤口不但到现在还没愈合,甚至还吹出了“华丽的音乐”……
 
 
在确定了病因后,医生决定先给老人解决肺部塌陷的问题。
 
这部分的治疗比较常规,医生在他胸膛上插入了两根胸管排出多余的空气,又把老人转移到了另一家更专业的医院进行治疗。虽然老人的病情有过一阵波动,但没过多久,他肺部的病情就已经痊愈了。
 
image
 
肺部的问题解决了,那吹哨的DD呢?
 
医生推测,大爷这叫阴囊气肿,是一种很罕见的症状,全世界只记录过60个病例。
 
阴囊气肿大多是由穿透伤(比如刀伤或者针刺)或者撞击造成,空气在阴部皮下积聚却找不到出口,就会越憋越大……
 
image
 
根据医生们的检查,老人下半身气肿至少已经两年以上了,时间长得有些离谱,但老人却表现得比其它病例健康得多。
 
至于原因,就在这口哨上……
 
之前的案例中,患者们身上没有能让空气逃跑的路线,所以都得通过医疗干预才能把困在体内的空气释放出去。
 
但大爷身上却有一个会吹口哨的小伤口,“DD口哨”一直在响,就代表着伤口一直在排出空气,这才减轻了症状。
 
不过因为某些(医生没有公布的)原因,医生最终还是切除了老人的两个睾丸……
 
image
 
至于大爷患病的原因,
其实医生也怀疑过,大爷是不是出于某些特别的癖好,自己向阴囊内注入空气。但在手术之后的三年里,定期访问的人员并没有发现类似的情况。
于是医生也只能得出结论,大爷这确实是纯属意外了……
 
会吹口哨的DD最终救了大爷一命,却也让大爷失去了一些,人生就是有得有失啊……
 
 
ref:
https://www.dailymail.co.uk/health/article-10965011/72-year-old-baffled-whistling-scrotum-discovering-air-hissing-sack.html

 

 

温哥华天空

--------------------

Vansky.com

 

才能把困在体内的空气释放出去。   但大家更专业的医院进行治疗。虽然老人的病情有

 

温哥华天空

 

Vansky.com

分享到微信: 分享到微信

声明:

本网站致力于帮助您推广您的加拿大微信公众号,将优秀的微信公众号和文章分享给广大网站用户。您的微信公众号文章内容本网站并不做任何改动,微信文章中所表达的观点也不代表本网站的立场,并且禁止非法,违规的文章。如需加入本网站上的公众号,或者取消您的微信公众号,请联系:(604) 269-8468。