男孩膝盖刺痛,医院检查没结果,2天后突然死亡!背后原因引人深思...
2022-03-21, 17:09 来源:
华人瞰世界
Vansky.com
温哥华天空
01
温哥华天空
02
.. 在坚持了数天之后,9月2以隐藏的方式出现! 澳洲一个18
03
04
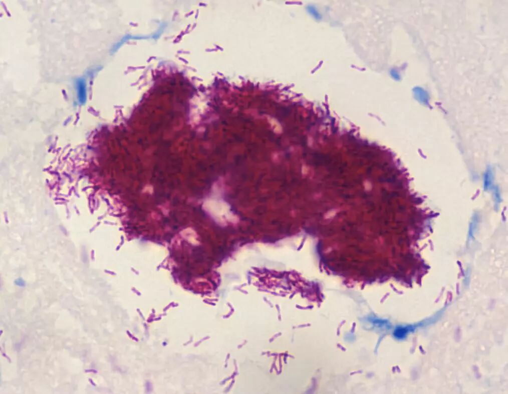
肌肉组织损坏的菌类总称。 食肉 2017年9月20号, 周
05
完检查后,根本没有医生可以为父子两解释报现: 负鼠很可能是食肉菌的感染母体,
车来接自己的儿子。 但,救护车方面表医生可以为父子两解释报告。 就连
从他感到身体不适到死亡, 只有短短两天父子二人只好在什么检查都没做的情况下先回
分享到微信:






